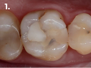
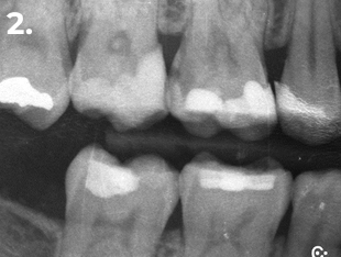
Esame clinico e radiografico:
• Restauro composito occluso-mesiale
• Carie distale profonda
Diagnosi: Pulpite reversibile
Il paziente si presenta alla visita riferendo fastidio nella zona del primo quadrante. L’esame clinico e radiografico evidenzia la presenza di una carie distale profonda, portando alla diagnosi di pulpite reversibile. Al fine di ottenere un adeguato punto di contatto sia mesiale che distale, si è proceduto alla rimozione completa del restauro preesistente.
La procedura è stata eseguita in isolamento assoluto, utilizzando il sistema di matrici sezionali HALO™.
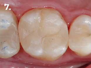
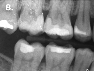
Nell’immagine clinica e radiografica finale si osservano corretti profili anatomici, con adeguata convessità e punti di contatto funzionali.

Fig. 1 Immagine clinica iniziale

Fig. 2 Radiografia bitewing iniziale

Fig. 3 Isolamento con diga di gomma e rimozione della lesione cariosa

Fig. 4 Posizionamento delle matrici sezionali HALO™ e dell’anello per sagomare la parete mesiale

Fig. 5 Formazione della parete distale per convertire la cavità in una preparazione di Classe I

Fig. 6 Sagomatura di cuspidi e solchi

Fig. 7 Immagine clinica finale

Fig. 8 Radiografia bitewing finale
Riflessione finale:
La rigidità del sistema di matrici HALO™ ha assicurato un’elevata stabilità, permettendo di mantenere la matrice in posizione anche su margini profondi, semplificando notevolmente la procedura restaurativa e garantendo un corretto punto di contatto.
.png?width=507&height=373&name=Halo_Parts_Final_Posed_Packaging_02_3D%201%20(1).png)
Sistema di matrici sezionali Halo™
Il sistema di matrici sezionali Halo™ è facile da utilizzare e consente di creare restauri in composito, nel rispetto dell'anatomia naturale del dente, in meno tempo. Scopri come utilizzare al meglio il sistema di matrici sezionali Halo™ in un restauro completo!
Maggiori informazioni: Sistema de Matrices Seccionales Halo™
L'autore

Il Dr. Santiago de Vega Calleja è uno specialista in endodonzia e odontoiatria restaurativa. Laureato in Odontoiatria presso l'Università Complutense di Madrid (UCM), ha completato il Master in Scienze Odontoiatriche (UCM) e il Master in Endodonzia e Odontoiatria Restaurativa presso l'Università Rey Juan Carlos (URJC). Inoltre ha integrato la sua formazione con studi in odontoiatria estetica mininvasiva. E’ docente del Master in Odontoiatria restaurativa estetica ed Endodonzia presso l'URJC e fa parte del Gruppo di ricerca, sviluppo e innovazione e prestazioni in biomateriali dentali presso l'URJC (IDIBO). Attualmente è iscritto alla Scuola Internazionale di Dottorato dell'URJC.
