A cura del Dr. Andrea Franzò
I restauri diretti nei settori posteriori sono tra le prestazioni più frequenti nelle agende degli studi dentistici; per questo è fondamentale eseguirli in modo corretto e predicibile.
Gli errori più comuni nella stratificazione tradizionale dentina + smalto riguardano spesso l’utilizzo di uno spessore eccessivo di dentina, che porta il clinico a modellare lo strato di smalto in sovraocclusione. Durante i successivi ritocchi occlusali, la rimozione selettiva dello smalto fa emergere la zona opaca della dentina sottostante, compromettendo l’estetica finale del restauro.
Al contrario, una quantità insufficiente di dentina comporta uno spessore eccessivo di smalto, con conseguente abbassamento del valore cromatico.
L’impiego di una sola massa di composito per l’intero restauro consente di evitare queste criticità, semplificando e standardizzando la procedura e garantendo risultati efficaci, estetici e ripetibili nella pratica clinica quotidiana.
Caso clinico

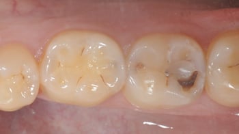
1. Restauri falliti e presenza di carie secondaria.

2. Dopo un corretto isolamento con diga di gomma, viene rimosso il materiale restaurativo precedente.

3. Situazione clinica dopo la rimozione della carie.

4. Il composito Transcend™ Universal Body shade (UB) viene applicato per la ricostruzione della parete prossimale.

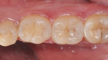
5. La massa Universal Body (UB) del composito Transcend™ è stata stratificata in incrementi di 2 mm e fotopolimerizzata. Situazione prima della caratterizzazione occlusale.

6. Restauro finale dopo il protocollo di lucidatura. Si noti l'accentuata caratterizzazione occlusale dopo l'applicazione dei pigmenti.
.png?width=600&height=361&name=Transcend_Composite_Caps_Off_UB_01_3D%204%20(1).png)
Composito Universale Transcend™
L'autore

Dr. Andrea Franzò
ll Dr. Franzò si è laureato con il massimo dei voti e lode presso l'Università di Trieste, Dipartimento di Odontoiatria (Italia) nel 2010. Ha inoltre conseguito un master in Odontoiatria Restaurativa ed Estetica presso l'Università di Bologna nel 2016. Il Dr. Franzò ha ricoperto il ruolo di professore a contratto nel corso "Tecniche Avanzate per Restaurazioni Conservative" presso l'Università di Trieste, oltre a essere docente nel master professionale in Odontoiatria Restaurativa ed Estetica presso l'Università di Bologna. È un esperto relatore in congressi nazionali e internazionali riguardanti l'odontoiatria estetica e adesiva. Inoltre, è membro attivo dell'Accademia Italiana di Odontoiatria Conservativa e Restaurativa, della Società Italiana di Odontoiatria Conservativa e dell'Accademia Italiana di Odontoiatria Estetica. Attualmente, il Dr. Franzò esercita la professione nel suo studio privato a Gorizia (Italia), specializzandosi in protesi e odontoiatria estetica.
